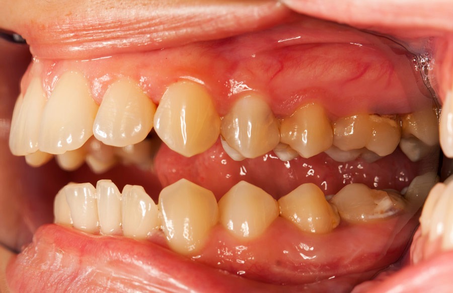
Le tartre, cet ennemi discret de notre hygiène bucco-dentaire, s’accumule progressivement et peut entraîner des complications comme la parodontite s’il n’est pas éliminé à temps. Bien que les visites régulières chez le dentiste restent essentielles, il est possible d’adopter des solutions naturelles pour prévenir et réduire l’accumulation de tartre chez soi.
Des solutions naturelles pour combattre le tartre :
1- Bicarbonate de soude et sel
Mélangez une cuillère à soupe de bicarbonate de soude avec une demi-cuillère à café de sel. Humidifiez votre brosse à dents avec de l’eau chaude, trempez-la dans ce mélange, puis brossez-vous les dents pendant environ cinq minutes avant de rincer.
2- Jus de citron
Brossez-vous les dents avec quelques gouttes de jus de citron, puis rincez immédiatement pour éviter l’acidité prolongée qui pourrait fragiliser l’émail.
3- Bain de bouche à l’huile de coco
L’huile de coco est un excellent agent antibactérien. Faites un bain de bouche avec une cuillère à soupe d’huile de coco tous les deux jours pour limiter la formation de plaque et hydrater naturellement les gencives.
4- Charbon végétal
Grâce à ses propriétés absorbantes, le charbon végétal aide à éliminer les taches et à réduire la plaque dentaire. Saupoudrez-en un peu sur votre brosse à dents et utilisez-le une à deux fois par semaine.
5- Cure-dents
Si vous remarquez du tartre visible sur vos dents, utilisez délicatement un cure-dent pour le gratter. Faites attention à ne pas blesser vos gencives.
6- Des aliments pour renforcer l’hygiène bucco-dentaire
Certaines nourritures peuvent aider à blanchir naturellement les dents et à limiter la formation de tartre. Les fraises, les tomates, les agrumes, les poivrons et les baies sont riches en vitamine C et peuvent être frottés directement sur les dents. Après cinq minutes, rincez votre bouche avec un mélange de bicarbonate de soude et d’eau chaude.
De bonnes habitudes pour une santé dentaire optimale
- Utilisez du fil dentaire quotidiennement pour éliminer les résidus alimentaires entre les dents.
- Stimulez votre production de salive en consommant des aliments épicés, qui aident naturellement à nettoyer la bouche.
- Avant de dormir, frottez vos dents avec de la peau d’orange et laissez agir sans rincer pour limiter la prolifération des bactéries.
- Adoptez une bonne technique de brossage en utilisant une brosse à poils souples et en effectuant des mouvements verticaux, en insistant sur la zone entre les dents et les gencives.
- Prendre soin de ses dents ne se limite pas au brossage quotidien. Une alimentation adaptée et des astuces naturelles permettent de garder un sourire éclatant tout en limitant l’accumulation de tartre.
- Pourquoi ne pas essayer ces méthodes dès aujourd’hui pour une bouche en pleine santé ?
















