Comprendre et traiter la gingivite : un guide complet

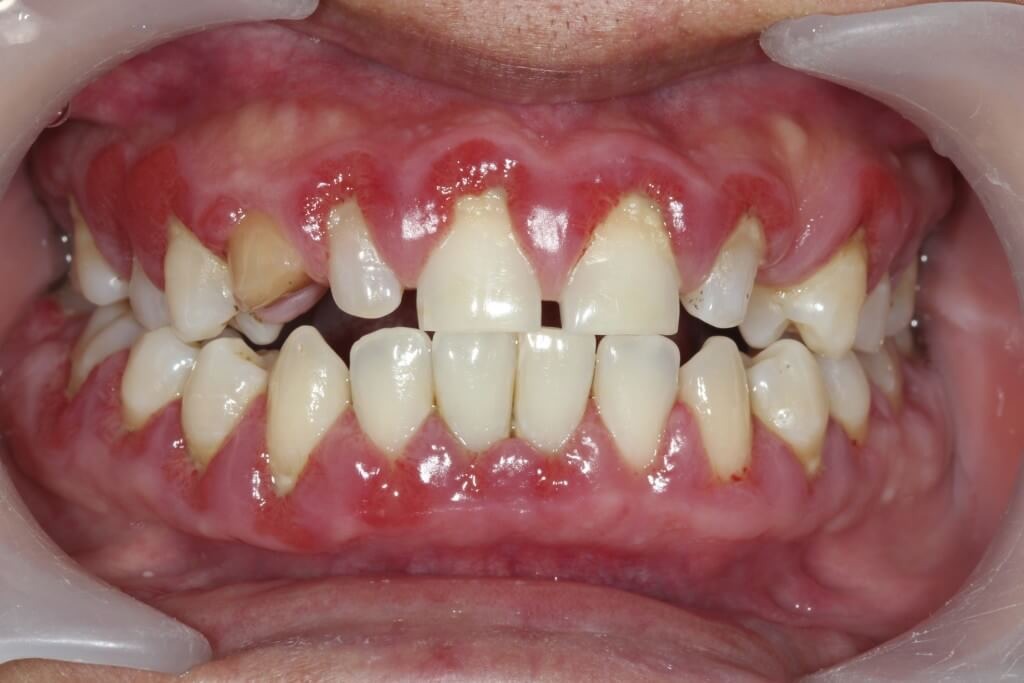
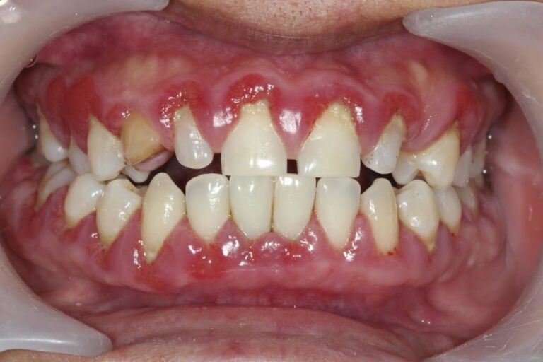
La gingivite, une inflammation des gencives, peut avoir des conséquences significatives sur la santé bucco-dentaire.

La principale cause de la gingivite est l’accumulation de plaque dentaire. Cette fine couche composée de bactéries et de débris alimentaires se forme constamment sur les dents. Si elle n’est pas éliminée efficacement par un brossage régulier, elle peut irriter les gencives, déclenchant ainsi une réaction inflammatoire.

D’autres facteurs peuvent contribuer à la gingivite, tels que le tabagisme, le diabète, les changements hormonaux (comme pendant la grossesse), et des conditions médicales sous-jacentes. Une alimentation déséquilibrée et des habitudes de vie peu saines peuvent également aggraver le risque de développer une gingivite.

Comment traiter la gingivite ?

Brossage régulier : une bonne hygiène bucco-dentaire est la clé pour traiter et prévenir la gingivite. Brossez-vous les dents au moins deux fois par jour avec une brosse à dents à poils souples et du dentifrice fluoré.

Utilisation du fil dentaire : le fil dentaire est essentiel pour éliminer la plaque entre les dents et le long de la ligne des gencives. Il atteint des zones inaccessibles pour la brosse à dents, contribuant ainsi à prévenir l’inflammation.

Rendez-vous chez le dentiste : des visites régulières chez le dentiste permettent un nettoyage professionnel pour éliminer la plaque et le tartre. Le professionnel de la santé dentaire peut également évaluer l’état de vos gencives et vous prodiguer des conseils adaptés.

Adoption d’une alimentation saine : une alimentation équilibrée favorise une bonne santé générale, y compris celle des gencives. Limitez la consommation de sucre et privilégiez les aliments riches en nutriments.

Gestion du stress : le stress peut aggraver la gingivite. Des techniques de gestion du stress, telles que la méditation ou le yoga, peuvent contribuer à maintenir une santé gingivale optimale.

La prévention et le traitement de la gingivite reposent sur une bonne hygiène bucco-dentaire, des visites régulières chez le dentiste et des habitudes de vie saines. En adoptant ces pratiques, chacun peut contribuer à préserver la santé de ses gencives et à éviter des complications plus graves.

Partager l'article

https://letemoinhaiti.com/comprendre-et-traiter-la-gingivite-un-guide-complet/

Newsletter

Restez informé

Recevez les dernières actualités directement dans votre boîte mail.